
전혀 예상하지 못했었던 암 선고를 받고, 운전대를 잡고 집으로 가는데 라디오에서 흘러나오는 음악은 모두 모두 비극적이고 슬프게 들려왔다. 아내와 아이들이 떠올랐고, 집에 다다라서야 내가 울고 있었다는 것을 알았다.
받아들이고 싶지 않았지만, fnac 세침검사에서 6단계로 나왔기기 때문에 내 몸에 암세포가 있음을 인정해야 했다. fna(세포흠인검사) 6단계(Ⅳ. malignant)는 악성 가능성이 97% 이상이기 때문에 갑상선암이라고 대학병원에서도 진단을 내린다.

정신을 가다듬고 S교수의 진료내용을 정리해 봤다. '석회화 갑상선암, 빠른 전이, 수술 시급, 좋은 예후'로 정리되었고, 빠른 시일 내에 수술해야겠다고 결심했다. 곧바로 아내에게 전화하여 아무렇지 않은 듯 덤덤하게 세침검사 결과를 알렸다. "여보, 수술하면 예후 좋다 하니, 유명한 병원, 의사 알아봐 줘, 바로 예약할게."
집에 도착하자, 아내는 울었는지 눈이 부어있었다. 아내의 지인이 암 수술받았던 병원, 갑상선 카페 회원이 많이 수술받은 병원, 포털 검색상 갑상선암 명의가 있는 병원 등 여러 곳 중 추려서 5개 병원에 진료예약했다.
아무리 '착한 암, 거북이 암'이라 불린다지만, 전신마취 후 갑상선을 반절제 또는 전절제하는 수술이니 갑상선 명의라 불리는 유명한 의사에게 수술을 받고 싶었다. 가장 빠른 병원은 1개월, 오래 기다려야 하는 병원은 3개월을 기다려야 했다.
초진까지 1개월을 기다려야 했기에, 올바른 식생활, 꾸준한 운동, 충분한 휴식 등 건강한 생활을 지속하며 최상의 몸 상태를 만들기로 하였다. 틈틈이 갑상선암 카페나 블로그에서 위로와 응원을 받았고, 도움 되는 정보를 수집했다. 그러던 중 갑상선암 과잉검사 과잉진료와 관련된 기사들을 접할 수 있었다.
갑상선암 과잉진료

우연히 발견한 희망적인 뉴스를 접하고, 비수술 추적관찰 관련 정보를 포털을 중심으로 찾아봤다. 가입한 갑상선암 카페나 블로그에서는 전이와 재발 위험성 때문에 수술 옹호론자가 많았었는데, 구글로 범위를 확장하여 검색을 해보니 추적관찰을 결정하고 자연치유하는 환우의 블로그 및 게시물을 찾아낼 수 있었다. 그리고 가급적이면 나와 비슷한 위치, 사이즈 등 상황이 유사한 사람의 글들도 끝내 발견하였다.
크기 변화 없이 10년 이상 추적관찰 중인 환자, 사이즈가 커져서 끝내 수술한 환자, 사이즈가 줄어들거나 사라진 환자 등등 개개인마다 추적관찰로 인한 경과는 상이했다. 그래서 예후가 좋았던 결과를 보인 환우분들에게 정중하게 궁금사항을 문의했고, 몇몇 환우분들은 자신의 현상태와 도움 되는 정보들을 친절하게 공유해 주셨다.
이 지면을 빌려서, 추적관찰 자연치유를 결심할 수 있도록 용기와 응원을 주셨던 이름 모를 분들에게 감사의 마음을 전하고 싶다. 정말 감사합니다. 감사합니다..
이집저집 젖동냥하는 심봉사도 아니고, 3차 상급 대학병원 진료를 이곳저곳 다니고 있을 때였다. 하루는 추적관찰 중인 블로그 이웃님이 추천해준 대학병원의 교수님을 찾아뵀다.
교수님은 지금까지 만났었던 의사들과 다르게 초음파 영상을 환자와 함께 바라보면서 암의 상태에 대하여 자세히 설명해 주셨다. 지금까지 환자에게 보여주며 설명해 준 의사는 단 한 명도 없었다.
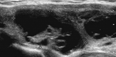
그렇게 설명을 이어가던 교수님은 한참을 모니터를 응시다가 고개를 갸우뚱하시면서, "0.9가 아니고. 0.7 이네요." 하는 게 아닌가. 비전무가인 내가 봐도 0.7로 보였다. 한 달도 안 되어서 0.2가 작아진 건 아닐 것이고, 교수님도 수술에 대한 결정권은 환자에게 있다고 했다.
그리고 이어서 "하지만, 갑상선암으로 사망하려면, 40년 이상 예상합니다." 하는게 아닌가. 순간 눈물이 왈깍 쏟아질 뻔했다. 너무 감격스러웠다. 그토록 듣고 싶었던 말이기도 했고, 의사로서의 리스크를 감수하면서 소신 있게 말하는 모습에서 환자를 진심으로 환자로 대해주는 마음이 느껴졌다.
여러 3차상급 대학병원 진료를 다닐 때마다 준비해 갔었던 영상자료는 총 2개였다. 건강검진센터와 세침검사(FNAC)를 받았던 대학교병원에서 발급받은 영상자료를 많은 대학병원의 여러 의사들에게 보여줬었다.
암이라는 사실은 변함없지만, 의사들은 갑상선암을 절제하는 수술 생각만 앞섰지 악성 암 조직의 사이즈를 다시 측정해볼 생각도 안 했던 것이었다. 그렇지 않고서야 그 많은 의사들 모두가 0.9cm라는 일관된 사이즈로 측정한 걸까? 로또 1등 확률만큼이나, 어려운 가능성이라고 본다. 유일하게 내 눈앞에서 길이를 함께 측정했었던 교수님의 진단이 정확하다고 본다.
따라서 이전까지 진료했었던 대학교병원 의사들은 서류상에 적힌 '0.9cm'만 믿고 측정을 안했다고 보여진다. 의료업계 종사자가 아닌 일반인도 기본적인 초음파상 사이즈 측정법은 잘 알 거다. 특히 임산부 태아 초음파검사를 받아보거나 옆에서 지켜본 경험이 있다면 잘 알거다. 초음파 영상자료 모니터 상에서 클릭 두 번이면 길이가 측정된다. 이처럼 초음파영상자료를 판독하는 프로그램에서 사이즈 크기 측정법은 간단하다.
갑상선암 추적관찰 자연치유 결정
위 교수님을 만나기 전에, 이미 과잉진료가 의심되었던 기존 권고안을 뒤집은 2015년 미국갑상선학회 권고안을 읽었었고, 추적관찰 방향으로 이미 가닥을 잡은 상태였었다.
그럼에도 1%의 불확성을 해소해 줄 무언가가 필요했는데, 그것은 전문가(전문의) 의견이었다. 축구의 쐐기골, 야구의 끝내기홈런처럼 교수님의 전문가 의견은 나에게 큰 힘을 실어주셨다. 감사합니다. 교수님. 선생님.
건강검진에서 갑상선 결절 발견.
건강검진 갑상선검사 석회화 결절 발견, 갑상선 세침검사(FNAC) 후기
카톨릭대학교 부천성모병원 내분비내과 첫 진료에서 석회화가 동반된 갑상선의 결절이 갑상선암이 의심된다 하여 세침검사(FNA)를 예약하였고, 시간이 흘러 갑상선 세침검사를 받아야 하는 당
allgreat.tistory.com
부천 수피아식물원 정보.
수피아식물원 부천가볼만한곳, 상동호수공원 식물원(곤충 파충류 체험)
경기도 부천시 가볼만한곳을 검색하면, '부천한국만화박물관'과 함께 가장 많이 나오는 검색어가 '부천호수식물원 상동호수공원 수피아'다. 부천의 대표 대형공원 상동호수공원 안에 있는 '상
allgreat.tistory.com
인천 왕산해수욕장 정보.
왕산해수욕장 서울근교 바닷가, 영종도 깨끗한 해변(파라솔 대여, 주차)
인천 영종도하면 보통 인천국제공항을 가장 먼저 떠올릴 것이다. 하지만, 우리 가족은 영종도하면 제일 먼저 왕산해수욕장이 생각나고, 당장이라도 가고 싶어 지는 서울에서 매우 가까운 서해
allgreat.tistory.com
'health > 갑상선' 카테고리의 다른 글
| 갑상선암 종류 정리 (유두암, 여포암, 수질암, 미분화암) (0) | 2023.01.18 |
|---|---|
| 갑상선암 동행, 비수술 자연치유 추적관찰 결정. (feat. 생활습관 개선) (0) | 2022.12.28 |
| 블로그에 기록했었던 건강(갑상선암, 갑상선, 내분비 등) 포스팅 정리 (1) | 2022.12.10 |
| 건강검진 갑상선검사 석회화 결절 발견, 갑상선 세침검사(FNAC) 후기 (0) | 2022.11.21 |
| 갑상선 초음파검사 석회화 결절, 부천성모병원 갑상선 세포검사(FNAC 세침검사) (0) | 2022.11.16 |
